Auf dem Röntgenbild erkennt man deutlich die erweiterte Speiseröhre.
Eigentlich ist die Speiseröhre in ihrem ganzen Verlauf gleichmäßig dick.
Eigentlich ist die Speiseröhre in ihrem ganzen Verlauf gleichmäßig dick.

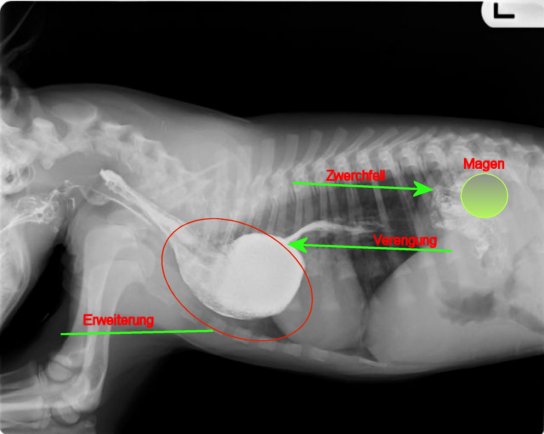
Auf dem Röntgenbild erkennt man deutlich die erweiterte Speiseröhre. Eigentlich ist die Speiseröhre in ihrem ganzen Verlauf gleichmäßig dick.
|